Nódulos pulmonares e detectan en forma accidental
Muchas veces los nódulos pulmonares se detectan en forma accidental, a través de exámenes como una radiografía o scanner de tórax que se solicitó por otros motivos.
En estos casos el especialista suele realizar un examen físico completo, analiza los exámenes y, si es necesario, pide otros complementarios. Cuando hay sospecha y riesgo elevado de cáncer, se efectúa una biopsia pulmonar, procedimiento que en estos casos define el diagnóstico.
Reconstrucción virtual del pulmón
El jefe del servicio de Neumología Intervencional de Clínica Alemana, doctor Sebastián Fernández-Bussy, explica que este nuevo método, conocido como Lungpoint, permite hacer una reconstrucción virtual del pulmón, mediante un software que utiliza el scanner de tórax del paciente para marcar el nódulo que se quiere biopsiar. Luego, ese mismo programa realiza una especie de navegación virtual hacia la lesión, indicando qué camino tomar para llegar a través de una broncospía (procedimiento mínimamente invasivo) al nódulo y hacer la biopsia, “es como un GPS pulmonar”, afirma.
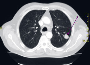
La nueva técnica se utiliza en nódulos pulmonares que miden más de 15 milímetros.”Tradicionalmente, en la mayoría de las lesiones de este tipo, es necesario realizar una cirugía para tomar la biopsia, sin embargo, con esta nueva técnica se ofrece una alternativa diagnóstica menos invasiva”, explica el especialista.
Beneficios para el paciente
Esto se traduce en múltiples beneficios para el paciente, ya que es un procedimiento ambulatorio, de menor costo, que no deja cicatrices ni conlleva dolores posquirúrgicos.
Esta tecnología se suma a otros avances incorporados en el último tiempo por el Servicio de Neumología Intervencional de Clínica Alemana, con el fin de realizar un diagnóstico más preciso de diversas enfermedades en la vía aérea- tanto benignos como malignos- como un endosonógrafo bronquial de última generación , sofisticados videobroncoscopios y la instalación de válvulas endobronquiales en pacientes con enfisema pulmonar.
Cáncer pulmonar en Chile y el Mundo
En el mundo, el cáncer de pulmón mata a un mayor número de gente que cualquier otro tipo de cáncer, y se prevé un aumento de esta tendencia hasta 2030.
Al año, fallecen alrededor de 1.400.000 personas por este motivo, de acuerdo a cifras de la Organización Mundial de la Salud. En Chile, las víctimas fatales son cerca de 2.400.